SAVE £1300 Off Invisalign®
On Our Discovery Day
2nd April
Crooked Teeth or Unwanted Gaps? 
Book a FREE space at our Invisalign® Discovery Day & Save £1300

Finance options available

2nd April [Only 10 spaces available]

Take the first step and attend our discovery day on 2nd April in Ipswich and learn how Invisalign® could transform your smile.

A £30 refundable deposit is required to reserve your place. (if booking cancelled, we will refund the deposit if cancelled no less than 48 hours before)
Claim your FREE CONSULTATION 
[& Save £1300]
Exclusive offer
Save £1300 (Only 10 spaces available)

With our offer you get:
CUSTOM JAVASCRIPT / HTML

& Much More...

Watch Kirsty's Invisalign Story

Claim your FREE CONSULTATION 
[& Save £1300]
What to expect at your initial Consultation
Learn More
About Invisalign
At your one to one appointment you learn everything you need to know about Invisalign and ask any questions.
Find Out if Invisalign
is Suitable For You
Most people are suitable for Invisalign, but there are occasions where other treatments may be better.
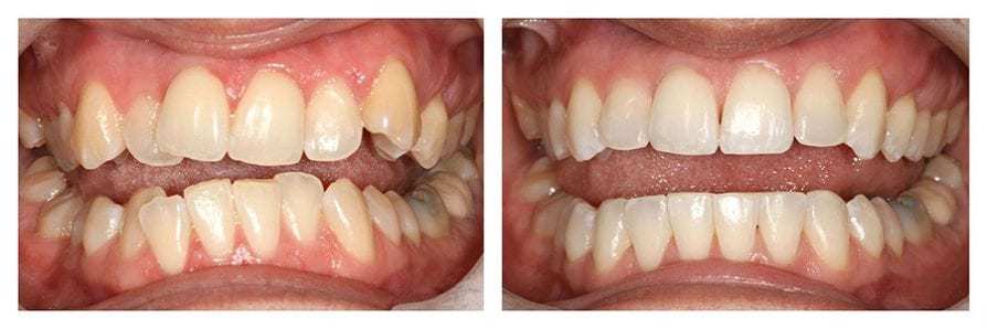
See Before & After Images
You will get the opportunity to see examples of before and after photos similar to your own smile to see what is possible.
Discuss pricing &
finance options

We offer a wide range of monthly payment plans with treatment from as little as £5 per day
Claim your FREE CONSULTATION 
[& Save £1300]
Before & After
Claim your FREE CONSULTATION 
[& Save £1300]
What Is Invisalign?
Invisalign is an exciting way to straighten your teeth without traditional ‘train track’ metal braces. It works by using a series of clear, plastic, made-for-you aligners that are changed out regularly to lead you painlessly through the teeth straightening process.

The great thing about Invisalign is that you can remove them quickly and easily - so there’s absolutely no food or drink restriction. The almost invisible braces are 3D printed specifically for your mouth, to move you step by step closer to your projected final tooth position.
CUSTOM JAVASCRIPT / HTML
CUSTOM JAVASCRIPT / HTML
Claim your FREE CONSULTATION 
[& Save £1300]
Conditions We Can Treat
Overly Crowded Teeth
When there isn't enough space for your teeth to fit normally in the jaws.
Overbite
When one or more of your upper teeth protrude over your lower teeth.
Underbite
When one or more lower teeth protrude in front of your upper teeth.
Gaps in Teeth
Gaps can cause teeth to shift into the empty spaces and become loose.
Open Bite
When both upper and lower teeth are forced outwards so that they don't touch each other.
Crossbite
When one or more of the upper teeth bite on the inside of  the lower teeth.
Claim your FREE CONSULTATION 
[& Save £1300]
Why Choose Us?
CUSTOM JAVASCRIPT / HTML
Claim your FREE CONSULTATION 
[& Save £1300]
Happy customers
CUSTOM JAVASCRIPT / HTML
As a new patient, I am very impressed with the services offered. Dev, my new dentist, is very professional and puts you straight at ease. I feel pleased to have found such a great dentist.
CUSTOM JAVASCRIPT / HTML
Very relaxing and reassuring visit everything was explained clearly plus the options fully explained. I am very happy with Foxhall Dental Practice
Highly recommend
CUSTOM JAVASCRIPT / HTML
One of the best dental practices I have been to, the staff are always very friendly and polite, my dentist Dev always talks through the procedure so I am always aware of what is going on
Powered By ClickFunnels.com